テトラサイクリン歯の原因と対処法
「歯がグレーっぽい」「縞模様のように変色している」——このような症状がある場合、テトラサイクリン歯(テトラサイクリン変色歯)の可能性があります。ここでは、その原因と治療法について分かりやすくご紹介します。
テトラサイクリン歯とは?
テトラサイクリン歯とは、テトラサイクリン系抗生物質を歯の発育期に摂取したことにより、歯の内側(象牙質)が変色してしまう状態です。歯の表面に着色が付いたものとは異なり、歯の内部から色がついていることが特徴です。
なぜ変色するのか? 原因
1. 抗生物質が象牙質に取り込まれるため
テトラサイクリン系抗生物質は、歯の成分であるカルシウムと結びつく性質があります。歯が作られている最中に服用すると、薬剤が象牙質に取り込まれ、黄色・茶色・灰色・黒色などの色として現れます。
2. 発症しやすい時期
特に以下の時期の服用が影響するとされています。
・妊娠中(母体が服用した場合)
・0〜8歳頃(歯が形成される時期)
現在では小児や妊婦へのテトラサイクリン投与は避けられているため、新規の発症は少なくなっています。
3. ミノサイクリンによる後天的な変色
成人でも、ニキビ治療などで処方されるミノサイクリン(ミノマイシンなど)を長期使用した場合、歯が青灰色から黒色に変色することがあります。
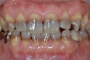
どんな見た目になる?(特徴)
・歯全体が黄色から灰色っぽい
・横縞(バンド状)の濃淡がある
・光の当たり方で黒っぽく見える
・表面を磨いても色が取れない
これらは、歯の内部に色素が沈着しているためです。
テトラサイクリン歯の対処法
変色の程度により、適切な治療法が異なります。
1. ホワイトニング(軽度〜中等度)
・オフィスホワイトニング
・ホームホワイトニング
・デュアルホワイトニング(両方併用)
テトラサイクリン歯は通常の着色より改善に時間がかかりますが、継続的に行うことで明るい色に近づけることができます。
2. ラミネートベニア(中等度〜重度)
歯の表面を薄く削り、セラミックのシェルを貼り付ける治療です。自然な白さと透明感が得られ、変色をしっかりカバーできます。
3. セラミッククラウン(重度)
歯全体をセラミックで覆う方法で、変色が非常に濃いケースに適しています。見た目を大きく改善したい方に向いています。
まとめ
テトラサイクリン歯は、歯が作られる時期に特定の抗生物質を服用することで起こる内部の変色です。ご自身の歯の色にお悩みの場合、まずは原因と変色の程度を診断し、ホワイトニングからセラミック治療まで、状態に合った治療法を選ぶことが大切です。
錦糸町 市川歯科・矯正歯科では、患者さまの歯の状態に合わせて最適な治療をご提案しています。歯の色が気になる、昔からグレーっぽいなど、お気軽にご相談ください。













